Measles, Dawson’s Disease the Morbillivirus and Multiple Sclerosis

Contributed By Richard Dowson

Caveat:​ I am not a Scientist nor a Medical Doctor. I am an overly curious retired school teacher. My objective is to share information I find interesting.

Whether people vaccinate or not and the ‘Vaccination Controversy’ is NOT debated here.

Background

Cases of Meales in Alberta have risen over the past few years.

Question

Can a person who gets sick from Measles develop ‘medical complications?’

Yes they can.

One report says 2 in 10,000 will develop complications. Another study says about 1 in 600 can develop complications. (Wendorf, Kristen, MD, MS et al) So, although not common, measles can cause medical complications.

What is the Cause of Measles?

Measles is caused by the Measles Virus. The scientific nameis “Morbillivirus hominis”. The virus is from the Paramyxoviridae family, of the genus Morbillivirus. It is related to Rinderpest, a cattle disease and to Canine Distemper Virus (Morbillivirus canis). There are 24 strains or variants of the measles virus.

What medical complications have been identified?

“Dawson’s Disease”, a progressive brain disorder affecting the brain and spinal cord. Progression is slow, over several years. Dawson’s Disease is better known as ‘Subacute Sclerosing Panencephalitis (SSPE)’.

Less common but also a ‘complication’ of measles is, ‘acute disseminated encephalomyelitis’ (ADEM), an autoimmune disease which “… attacks the nerves of the central nervous system and damages their myelin insulation…”. Wikipedia

Who was ‘Dawson’, the guy who discovered Dawson’s Disease?

James Walker Dawson (1870 to 1927) was born in India and studied medicine at the University of Edinburgh. He was a pathologist and in 1916 “… described a special sign of the disease (multiple sclerosis) which doctors now call Dawson’s Fingers.” (James Walker Dawson Facts for Kids)

What are “Dawson’s Fingers” and why are they so important?

Dawson’s Fingers are used to diagnose of Multiple Sclerosis.“Later, a famous book called The Founders of Neurology said that James Dawson's work was so good, little new information(about Multiple Sclerosis) was added for 40 years.” (James Walker Dawson Facts for Kids)

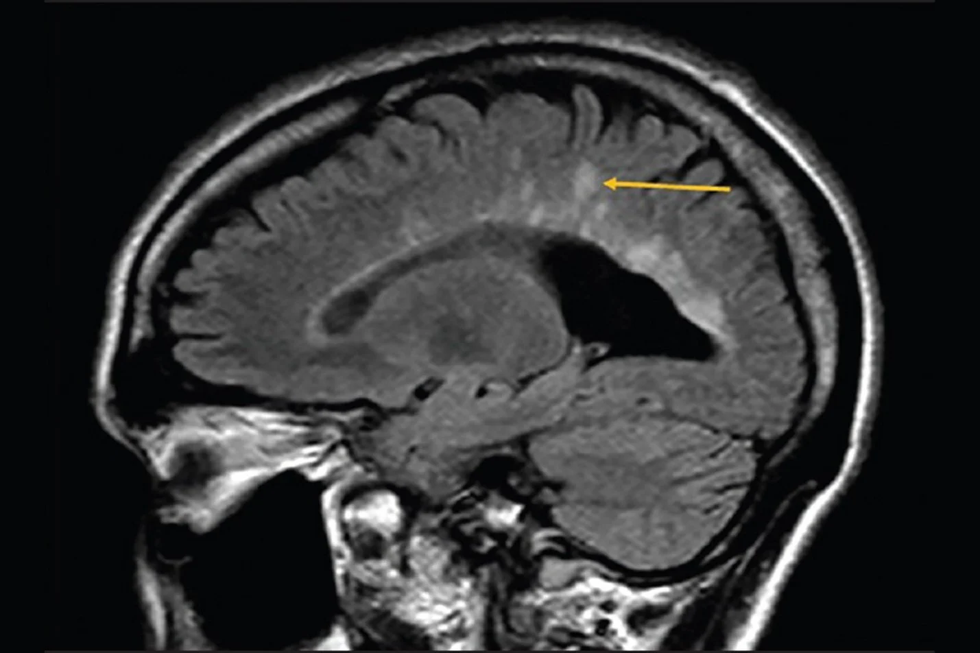
Here is an Example of Dawson’s Fingers

Reference:​What Are Dawson’s Fingers And What Do They Reveal About MS?

From Health Central: (August 1, 2025) “These finger-shaped brain lesions are a key clue in the hunt for a MS diagnosis.”Authors: Barbara Williams Cosentino, LCSW and R. N. Elizabeth Millard – the Medial Reviewer; Jason H. Lin, M.D., Neurologist

“An arrow points to “Dawson’s fingers” on an MRI of a person with multiple sclerosis”

From “Annals of Indian Academy of Neurology

Credit: Health Central

Conclusion

Although speculative, a ‘tenuous line’ might be drawn between Morbillivirus variants, Dawson’s Fingers and Multiple Sclerosis.

Consider the Christine Rohowsky-Kochan et al, article,“Increased frequency of canine distemper virus-specific antibodies in multiple sclerosis” that appeared in Brain and Behavior, January 2021. They conclude: “The finding that anti-CDV (Morbillivirus canis) levels are elevated in MS patients of all ages provides substantial evidence of a strong association between elevated anti-CDV and MS.”

As noted, CDV is Canine Distemper Virus, also known as Morbillivirus Canis.

What Next?

More research challenges for medical science.

References:

Cook S.D., Dowling P.C. A possible association between house pets and multiple sclerosis. Lancet. 1977;1:980–982. - PubMed

Cook SD. REVIEW ■ : The Epidemiology of Multiple Sclerosis: Clues to the Etiology of a Mysterious Disease. The Neuroscientist. 1996;2(3):172-180. doi:10.1177/107385849600200312

Wendorf, Kristen, MD, MS et al; “Subacute Sclerosing Panencephalitis: The Devastating Measles Complication Is More Common Than We Think”, Open Forum Infectious Diseases, Volume 3, Issue suppl_1, December 2016

https://doi.org/10.1093/ofid/ofw194.81

Rohowsky-Kochan, Christine et al, “Increased frequency of canine distemper virus-specific antibodies in multiple sclerosis”,Brain and Behavior 2021 Jan;11(1):e01920.

Writer Richard Dowson is a retired educator.

He is known for his frequenting local coffee shops and other places seniors gather.

In a previous life he wrote comedy for CHED in Edmonton.

moose jaw